Skip to main content
diathlastiki-xeirourgiki

Συντάκτης

Αθανάσιος Οικονόμου
Χειρουργός Οφθαλμίατρος
Διδάκτωρ Ιατρικής ΑΠΘ,
Διευθυντής Οφθαλμολογικού Τμήματος Κεντρικού Ιατρείου Θεσσαλονίκης Ελληνικής Αστυνομίας
Επικοινωνία: economouath@yahoo.gr

Επιπλοκές μεθόδου LASIK
Στο δεύτερο μέρος του άρθρου θα αναλυθούν οι επιπλοκές που μπορεί να προκύψουν από τη χειρουργική επέμβαση με τη μέθοδο LAser InSitu κερατοκτομή (LASIK)

Τα γυαλιά και οι φακοί επαφής είναι οι πιο κοινές μέθοδοι που χρησιμοποιούνται για τη διόρθωση των διαθλαστικών ανωμαλιών. Η χειρουργική θεραπεία είναι μια εναλλακτική επιλογή και στοχεύει να ξεπεράσει ορισμένους από τους περιορισμούς των γυαλιών και των φακών επαφής, όπως για παράδειγμα το γεγονός ότι τα γυαλιά είναι άβολα και μη πρακτικά για αθλήματα και επίσης ότι οι φακοί επαφής σχετίζονται με λοιμώξεις του κερατοειδούς από όλο και πιο ανθεκτικούς μικροοργανισμούς. Οι χειρουργικές επεμβάσεις που περιλαμβάνουν την αλλαγή της καμπυλότητας και έτσι της διαθλαστικής ισχύος του κερατοειδούς με τη χρήση excimer και femtosecond laser περιλαμβάνουν δύο κύριες ομάδες επεμβάσεων: α. τη φωτοδιαθλαστική κερατεκτομή (PhotoRefractive Keratectomy) και β. τη LAser InSitu κερατοκτομή (LASIK).

Επιπλοκές Μεθόδου LASIK

H Laser-assisted in situ keratomileusis (LASIK) είναι μία από τις πιο ευρέως διαδεδομένες κερατοδιαθλαστικές επεμβάσεις παγκοσμίως και περιλαμβάνει τη δημιουργία ενός κερατοειδικού κρημνού, ο οποίος ανασηκώνεται αλλά συγκρατείται στη μία πλευρά του, στη συνέχεια εφαρμόζεται η φωτοεκτομή και τέλος ο κρημνός επανατοποθετείται στη θέση του. Από την εισαγωγή της το 1990, υπήρξε μια συνεχής εξέλιξη στην τεχνολογία της για τη βελτίωση του οπτικού αποτελέσματος. Η ασφάλεια, η αποτελεσματικότητα και η προβλεψιμότητα της LASIK είναι ευρέως γνωστές, αλλά οι επιπλοκές αυτής της διαδικασίας, αν και σπάνιες, δεν είναι άγνωστες35. Η βιβλιογραφική ανασκόπηση προτείνει ότι οι διεγχειρητικές επιπλοκές περιλαμβάνουν την απώλεια αναρρόφησης (suction), τον ελεύθερο κρημνό, τη ρήξη του κρημνού, το buttonhole, την έκκεντρη φωτοεκτομή, το κεντρική νησίδιo, τα υπολείμματα φωτοεκτομής στο interface, καθώς και με επιπλοκές που σχετίζονται με το femtosecond λέιζερ και άλλες. Οι μετεγχειρητικές επιπλοκές περιλαμβάνουν τις πτυχώσεις του κρημνού, τη μετακίνησή του, το υπολειπόμενο διαθλαστικό σφάλμα, τη διάχυτη ενδοστρωματική κερατίτιδα (DLK), τη μικροβιακή κερατίτιδα, τη μετανάστευση επιθηλίου, την υποστροφή του διαθλαστικού σφάλματος, την εκτασία κερατοειδούς και άλλες. Ο τομέας της διαθλαστικής χειρουργικής έχει γνωρίσει μια μεγάλη επανάσταση τις τελευταίες δύο δεκαετίες με την εισαγωγή των φακικών ενδοφακών και της SMole Incission Lenticle Extraction. Ωστόσο, η LAser in SItu Keratosmileusis (LASIK) εξακολουθεί να παραμένει η πιο συχνά εκτελούμενη διαθλαστική χειρουργική επέμβαση παγκοσμίως. Στην τρέχουσα εποχή, μια μετεγχειρητική οπτική οξύτητα (VA) μικρότερη των 10/10 μετά από διαθλαστική χειρουργική έχει καταστεί μη αποδεκτή, λαμβάνοντας υπόψη τις υψηλές απαιτήσεις των ασθενών και το γεγονός ότι οι περισσότεροι ασθενείς έχουν καλύτερη διορθωμένη οπτική οξύτητα (BCVA) τουλάχιστον 10/10 πριν από την επέμβαση. Οι τεχνολογικές εξελίξεις στη LASIK, από την εισαγωγή της, έχουν αυξήσει την ασφάλεια, την αποτελεσματικότητα και την προβλεψιμότητά της, ωστόσο, χρειάζεται κανείς να έχει σε βάθος γνώση των διεγχειρητικών και μετεγχειρητικών επιπλοκών και να λαμβάνει προληπτικά μέτρα για τη μείωση της εμφάνισής τους, την έγκαιρη αναγνώριση και την κατάλληλη διαχείριση για την επίτευξη του βέλτιστου αποτελέσματος.

Οι επιπλοκές της LASIK μπορεί αρχικά να χωριστούν σε διεγχειρητικές και μετεγχειρητικές. Ένας πίνακας που τις συνοψίζει παρουσιάζεται στον Πίνακα 1.

Πίνακας 1.

Διεγχειρητικές Επιπλοκές

Αιμορραγία υπό τον επιπεφυκότα

Υπό τον επιπεφυκότα αιμορραγία μπορεί να εμφανιστεί σχεδόν στο ένα τρίτο των περιπτώσεων36 (Εικόνα 3a). Οι παράγοντες κινδύνου περιλαμβάνουν τον μη σωστά επικεντρωμένο ή ακατάλληλου μεγέθους δακτύλιο αναρρόφησης και τον μεγάλο – μη σωστά επικεντρωμένο κρημνό σε περιπτώσεις με κερατοειδικό πάννο37. Η εφαρμογή πίεσης με σφουγγάρι meroceal ή και η χρήση φενυλεφρίνης βοηθούν στον έλεγχο της αιμορραγίας. Σε περίπτωση που το αίμα φτάσει στο interface, θα πρέπει να καθαρίζεται καλά πριν από την εφαρμογή του excimer λέιζερ38.

Επιθηλιακό έλλειμμα

Επιθηλιακό έλλειμμα παρατηρείται στο 0,6%-14% των περιπτώσεων37,39,40. Παράγοντες κινδύνου περιλαμβάνουν τη δυστροφία της βασικής μεμβράνης του επιθηλίου (EBMD), τη μεγάλη ηλικία, τη συχνή ενστάλαξη τοπικού αναισθητικού πριν από την επέμβαση, την ενεργό αναρρόφηση κατά την αντίστροφη διέλευση του μικροκερατόμου, την υπερμετρωπία, το στέγνωμα του κρημνού και το ιατρογενές τραύμα40. Οι δυνάμεις διάτμησης της λεπίδας του μηχανικού μικροκερατόμου έχουν ως αποτέλεσμα την υψηλή συχνότητά του μετά το LASIK με τη βοήθεια μικροκερατόμου (m-LASIK). Ένα επιθηλιακό ελάττωμα μπορεί να προκαλέσει στρωματικό οίδημα και μειωμένη προσκόλληση του κρημνού, γεγονός που αυξάνει τον κίνδυνο για διάχυτη στρωματική κερατίτιδα (DLK) και μετανάστευση επιθηλίου (epithelial ingrowth)41. Η διαχείριση περιλαμβάνει συχνά λιπαντικά χωρίς συντηρητικά. Το τοπικό στεροειδές ενισχύεται για 2-3 ημέρες για να μειωθεί ο κίνδυνος DLK. Σε περίπτωση μεγάλου επιθηλιακού ελαττώματος (>3mm), εφαρμόζεται θεραπευτικός φακός επαφής (BCL)42.

Απώλεια αναρρόφησης

Απώλεια αναρρόφησης εμφανίζεται στο 0,06%-4,4% των περιπτώσεων39,43,44 και μπορεί να προκαλέσει ατελές σχηματισμό του κρημνού (Εικόνα 3b). Παράγοντες κινδύνου περιλαμβάνουν το περιορισμένο άνοιγμα των βλεφάρων, τον βαθύ κόγχο, τον επίπεδο κερατοειδή, την ακατάλληλη θέση του οφθαλμού ή κεφαλής κατά την εφαρμογή της αναρρόφησης, την ακατάλληλη εφαρμογή του δακτυλίου αναρρόφησης, τη χαμηλή πίεση αναρρόφησης και την ξαφνική κίνηση των ματιών. Στην m-LASIK, η απώλεια αναρρόφησης υποδεικνύεται με ένα alarm, μετά το οποίο διακόπτεται η περαιτέρω κίνηση του μικροκερατόμου προς τα εμπρός. Εάν ο κρημνός είναι μεγαλύτερος από την προβλεπόμενη οπτική ζώνη (OZ), μπορεί να πραγματοποιηθεί φωτοεκτομή. Ωστόσο, εάν το hinge βρίσκεται στη ζώνη αφαίρεσης, τότε η διαδικασία ματαιώνεται και προγραμματίζεται εκ νέου θεραπεία, κατά προτίμηση επιφανειακή φωτοεκτομή μετά από τουλάχιστον τρεις μήνες39. Στην FS-LASIK, ένας περιφερικός ασύμμετρος δακρυϊκός μηνίσκος γύρω από τον δακτύλιο αναρρόφησης είναι το πρώτο σημάδι απώλειας αναρρόφησης μετά το οποίο διακόπτεται η εφαρμογή του λέιζερ45. Μπορεί να επιχειρηθεί μια δεύτερη προσπάθεια αναρρόφησης ενώ διατηρείται η τοποθέτηση πάνω από το προηγούμενο σημείο αναρρόφησης45. Σε περίπτωση που η απώλεια αναρρόφησης συμβεί πριν από την πλάγια τελική κοπή, χρησιμοποιούνται οι ίδιες παράμετροι. Ωστόσο, εάν συμβεί κατά την πλάγια κοπή, η διάμετρος της δεύτερης πλευρικής κοπής θα πρέπει να είναι 0,5mm μικρότερη45.

Εικόνα 3.

Επιπλοκές που σχετίζονται με τον κρημνό

i. Μη σωστά επικεντρωμένος κρημνός

Ο μη ευθυγραμμισμένος δακτύλιος αναρρόφησης μπορεί να οδηγήσει σε έκκεντρο κρημνό46. Σε περίπτωση που σχηματιστεί έκκεντρος κρημνός, η πραγματοποίηση μιας φωτοεκτομής με επίκεντρο την κόρη μπορεί να οδηγήσει σε απροσδόκητο οπτικό αποτέλεσμα46. Ως εκ τούτου, η διαδικασία θα πρέπει να ματαιωθεί εάν το αναμενόμενο κενό μεταξύ του περιφερειακού άκρου της φωτοεκτομής και του ορίου του κρημνού είναι <1mm και επαναλαμβάνεται η διαδικασία μετά από τρεις μήνες46.

ii. Ατελής/Ημιτελής κρημνός

Ένας ατελής κρημνός εμφανίζεται σε 0,3% έως 3,6% των περιπτώσεων με υψηλότερη συχνότητα στο m-LASIK39,47 (Εικόνα 3b). Οι παράγοντες κινδύνου περιλαμβάνουν την απώλεια αναρρόφησης, τη δυσλειτουργία του μικροκερατόμου, το μηχανικό μπλοκ με το drape, την είσοδο βλεφαρίδων ή το χαλαρό επιθήλιο47,48. Η διαχείριση είναι ίδια με την απώλεια αναρρόφησης. Εργαλεία που διαχωρίζουν τον κρημνό έχουν περιγραφεί για την ολοκλήρωση του διαχωρισμού του σε περίπτωση που το hinge βρίσκεται στην οπτική ζώνη. Ωστόσο, αυτό προσθέτει τον κίνδυνο του buttonhole και ανομοιομορφίας του υπολειπόμενου στρώματος, προκαλώντας ανώμαλο αστιγματισμό. Επίσης, η οπτική ζώνη μπορεί να μειωθεί για την προστασία του κρημνού, αλλά το σκοτοπικό μέγεθος της κόρης θα πρέπει να λαμβάνεται δεόντως υπόψη.

iii. Ρήξη του κρημνού

Η ρήξη του κρημνού, αν και σπάνια, μπορεί να συμβεί κατά την ανύψωση κρημνού και είναι πιο συχνή στο FS-LASIK39,49 (Εικόνα 4a). Κρημνός μεγάλης διαμέτρου με κερατοειδικό πάννο, διαδικασία επανεπέμβασης, παρουσία ουλής κερατοειδούς και ελαττωματικά εργαλεία μπορεί να οδηγήσουν σε αυτήν την επιπλοκή50. Ρήξη του κρημνού στο hinge μπορεί να οδηγήσει σε ελεύθερο κρημνό. Σε περίπτωση μικρής περιφερικής ρήξης, το τεμαχίδιο θα πρέπει να αφαιρεθεί στο σημείο του σχισίματος. Ωστόσο, εάν αφορά τον οπτικό άξονα, η διαδικασία θα πρέπει να ματαιωθεί και να ακολουθήσει εκ νέου θεραπεία με επιφανειακή φωτοεκτομή.

iv.   Buttonhole κρημνός

Η αποτυχία επίτευξης κοπής στο κέντρο έχει ως αποτέλεσμα μια τρύπα στον κρημνό (Εικόνα 4b,5). Παρατηρείται στο 0,03% έως 2,6% των περιπτώσεων51. Ο κυρτός κερατοειδής (>48D), η απώλεια αναρρόφησης, ο μεγάλος κρημνός, το δεύτερο μάτι, το m-LASIK και το vertical gas breakthrough (VGB) στο FS-LASIK αποτελούν παράγοντες κινδύνου51,52. Η διαχείριση περιλαμβάνει ματαίωση της διαδικασίας και σχεδιασμό μιας εκ νέου θεραπείας, κατά προτίμηση με επιφανειακή φωτοεκτομή μετά από τρεις μήνες. Σε περίπτωση που επιχειρηθεί εκ νέου LASIK θα πρέπει να γίνει κρημνός μεγαλύτερης διαμέτρου και μεγαλύτερου πάχους39. Η δημιουργία buttonhole κρημνού μπορεί να οδηγήσει σε ανώμαλο αστιγματισμό και μετανάστευση επιθηλίου.

v. Ελεύθερος κρημνός

Ο ελεύθερος κρημνός παρατηρείται σε 0,01%-1,8% των περιπτώσεων48,53. Παράγοντες κινδύνου περιλαμβάνουν τη δυσλειτουργία ή παλιό μοντέλο μικροκερατόμου, τον επίπεδο κερατοειδή (<42D), τον μη σωστά επικεντρωμένο δακτύλιο αναρρόφησης, την ανεπαρκή αναρρόφηση και μικρό hinge53. Επίσης, η αποκόλληση του hinge κατά τη διάρκεια των χειρισμών διαχωρισμού του κρημνού μπορεί να οδηγήσει σε ελεύθερο κρημνό. Εάν ο κρημνός βρεθεί άθικτος και το υποκείμενο στρώμα είναι επαρκούς μεγέθους (>6,5mm), ο ελεύθερος κρημνός τοποθετείται σε δοχείο με την επιθηλιακή πλευρά προς τα κάτω και διατηρείται υγρός53. Μετά τη φωτοεκτομή με λέιζερ, τοποθετείται στο υποκείμενο στρώμα, αφήνεται να στεγνώσει για > 5 λεπτά και τοποθετείται θεραπευτικός φακός επαφής πάνω του για να επιτευχθεί καλή πρόσφυση. Νάιλον ράμματα 10-0 χρησιμοποιούνται για τη στερέωση κρημνών που είναι οιδηματώδεις ή παρουσιάζουν τάση εξάρθρωσης48. Συνιστάται εξέταση με σχισμοειδή λυχνία μετά από 2-3 ώρες. Κατά τη χρήση μηχανικών μικροκερατόμων σήμανση του κερατοειδούς βοηθά στην αποφυγή κακής ευθυγράμμισης που μπορεί να προκαλέσει ανώμαλο αστιγματισμό. Σε περίπτωση διεγχειρητικής απώλειας του κρημνού, η διαδικασία θα πρέπει να εγκαταλειφθεί. Η επιφάνεια επουλώνεται με επιθηλιοποίηση και μπορεί να αναπτυχθεί θόλωση του κερατοειδούς (haze). Η μετεγχειρητική υπερμετρωπική μετατόπιση της διάθλασης σε αυτές τις περιπτώσεις αντιμετωπίζεται με φακούς επαφής (CL), επανεπέμβαση PRK ή τοποθέτηση κρημνού από δότη κερατοειδούς53.

vi. Λεπτός κρημνός

Ο κρημνός της LASIK δημιουργείται από μία τομή του κερατοειδούς κάτω από τη στοιβάδα του Bowman. Ωστόσο, μία τομή στο επίπεδο ή πάνω από τη στοιβάδα του Bowman έχει ως αποτέλεσμα έναν λεπτό κρημνό (<60 microns). Οι παράγοντες κινδύνου είναι παρόμοιοι με εκείνους του ελεύθερου κρημνού. Σε λεπτό κρημνό ομοιόμορφου πάχους με επαρκές υπολειπόμενο στρώμα (>6,5mm), η διαδικασία μπορεί να συνεχιστεί. Ωστόσο, σε ακανόνιστο λεπτό κρημνό με ανώμαλο υπολειπόμενο στρώμα, η διαδικασία ματαιώνεται και προγραμματίζεται εκ νέου θεραπεία μετά από τρεις μήνες με βαθύτερη τομή για να ληφθεί παχύτερος κρημνός.

Εικόνα 4.

Εικόνα 5.

Επιπλοκές που σχετίζονται με τη femtosecond LASIK

i. Κάθετη μετατόπιση αερίου (Vertical Gas Breakthrough)

Το Femtosecond λέιζερ (FSL) λειτουργεί με βάση την αρχή του φωτοδιαχωρισμού. Δημιουργεί ένα πλάσμα που εξαπλώνεται οριζόντια στον κερατοειδή, με μια διαδρομή ελάχιστης αντίστασης, και δημιουργεί χώρο με φυσαλίδες. Στην παρουσία ουλής στον κερατοειδή ή ρήξη/ανωμαλία στη στοιβάδα του bowman, το αέριο ανατέμνει κάθετα προς το στρώμα ή το επιθήλιο ακολουθώντας τη διαδρομή της ελάχιστης αντίστασης54,55 (Εικόνα 6a). Αυτό έχει ως αποτέλεσμα έναν ατελή διαχωρισμό του κρημνού με μια πιθανή δημιουργία buttonhole. Σπάνια, το αέριο μπορεί να διαρρήξει το επιθήλιο του κερατοειδούς με αποτέλεσμα επιθηλιακό έλλειμμα54.

ii. Αδιαφανές στρώμα φυσαλίδων (Opaque Bubble Layer)

Το αδιαφανές στρώμα φυσαλίδων (OBL) σχηματίζεται λόγω της παγίδευσης αερίου από φυσαλίδες μέσα στο στρώμα του κερατοειδούς (Εικόνα 6a). Μεταβλητή επίπτωση έχει παρατηρηθεί στη βιβλιογραφία (5%-72,6%)56,57. Ο παχύς κερατοειδής, η μικρή διάμετρος του κρημνού, η τεχνική ισχυρής αναρρόφησης, η υστέρηση του κερατοειδούς, η χρήση χαμηλής συχνότητας ή ενέργειας λέιζερ και ο διαχωρισμός με μικρό αριθμό spot είναι οι αναφερόμενοι παράγοντες κινδύνου56,57. Το OBL έχει ταξινομηθεί σε πρώιμο και όψιμο58. Το πρώιμο OBL ή το σκληρό OBL, εμφανίζεται τη στιγμή της χορήγησης λέιζερ και φαίνεται να είναι πυκνό. Το όψιμο OBL ή μαλακό OBL, εμφανίζεται αφού η εφαρμογή του λέιζερ έχει περάσει από μια περιοχή και είναι σχετικά διαφανές. Η παρουσία OBL υποδηλώνει πρόσφυση του κρημνού. Ως εκ τούτου, ο διαχωρισμός του κρημνού πρέπει να εκτελείται προσεκτικά. Εξαφανίζεται μετά από το διαχωρισμό – ανύψωση του κρημνού. Ωστόσο, η εμμονή του μπορεί να προκαλέσει δυσκολία στην παρακολούθηση της κόρης για την εφαρμογή του excimer λέιζερ. Το να περιμένετε λίγα λεπτά και να το αφήσετε να εξαφανιστεί είναι συνετό. Αύξηση εκτροπής υψηλότερης τάξης (HOA), ιδιαίτερα του trefoil, έχει παρατηρηθεί με την εμφάνιση OBL36,37.

iii. Φυσαλίδες αέρα στον πρόσθιο θάλαμο

Η συχνότητα εμφάνισης φυσαλίδων αέρα στον πρόσθιο θάλαμο κατά τη διάρκεια της LASIK είναι <1%59 (Εικόνα 6b). Εμφανίζεται λόγω της μετανάστευσης των φυσαλίδων μέσω του επισκληρίου, του καναλιού του Schlemm και του δοκιδωτού πλέγματος (trabecular meshwork) στον πρόσθιο θάλαμο60. Ο κρημνός μεγάλης διαμέτρου και η μικρή διάμετρος του κερατοειδούς είναι οι αναφερόμενοι παράγοντες κινδύνου37,45. Οι φυσαλίδες στον πρόσθιο θάλαμο παρεμβαίνουν – εμποδίζουν την παρακολούθηση της κόρης για την φωτοεκτομή με excimer λέιζερ. Ως εκ τούτου, είναι ιδανικό να περιμένετε να εξαφανιστούν πριν προχωρήσετε.

Οι επιπλοκές της LASIK που έχουν σχέση με την εφαρμογή του excimer laser είναι παρόμοιες με αυτές που αφορούν τη μέθοδο PRK.

Υπολλείμματα (debris) στο επίπεδο διαχωρισμού

Έχει αναφερθεί μεταβλητή συχνότητα εμφάνισης υπολειμμάτων στο επίπεδο διαχωρισμού (0,06% έως 100%)61,62 (Εικόνα 7). Αναγνωρίζονται μετεγχειρητικά στην εξέταση με σχισμοειδή λυχνία και θα πρέπει να διαφοροποιούνται προσεκτικά από μια φλεγμονώδη και μολυσματική αντίδραση. Τα υπολείμματα μπορεί να αποτελούνται από ταλκ από γάντια, ίνες σφουγγαριού, μεταλλικά σωματίδια από τον μικροκερατόμο, εκκρίσεις μεϊμβομιανών αδένων και βλεφαρίδα48. Τα περισσότερα υπολείμματα είναι βιοδιασπώμενα και δεν προκαλούν φλεγμονή, επομένως μπορεί αφεθούν και να παρακολουθούνται. Ωστόσο, εάν αφορούν τον κεντρικό οπτικό άξονα ή υπάρχει υποψία ότι μπορεί να προκαλέσουν φλεγμονή, αντιμετωπίζονται με εκ νέου ανύψωση του κρημνού και άρδευση και καθαρισμό του επιπέδου διαχωρισμού62. Η διάχυτη στρωματική κερατίτιδα (DLK) και ο ανώμαλος αστιγματισμός μπορούν να αποτελέσουν επιπλοκή τους63.

Εικόνα 6.

Εικόνα 7.

Μετεγχειρητικές Επιπλοκές

Πρώιμες επιπλοκές

i. Μετατόπιση του κρημνού

Η μετατόπιση του κρημνού είναι ένα οφθαλμολογικό επείγον. Η συχνότητά του κυμαίνεται από 0,012% έως 2,5%39,45,48,64. Στις περισσότερες περιπτώσεις εμφανίζεται εντός της πρώτης μετεγχειρητικής εβδομάδας, καθώς ακόμη και μικρός τραυματισμός λόγω σφίξιμου των βλεφάρων, ισχυρός βλεφαρισμός και τρίψιμο των ματιών μπορεί να μετατοπίσουν τον κρημνό σε αυτή τη φάση. Ξηροφθαλμία, m-LASIK, ρινική τοποθέτηση του hinge, μεγάλη διάμετρος εκτομής / λεπτός κρημνός και υπερεμετρωπική διόρθωση αποτελούν επίσης παράγοντες κινδύνου39,45,48,64. Οι ασθενείς παρουσιάζουν αιφνίδια θόλωση ή μείωση της οπτικής οξύτητας, η οποία μπορεί να συνοδεύεται από άλγος. Η διαχείριση περιλαμβάνει την εκ νέου ανύψωση του κρημνού, απομάκρυνση του επιθηλίου από το υπολειπόμενο στρώμα (εάν υπάρχει), άρδευση του επιπέδου διαχωρισμού, απομάκρυνση υπολειμμάτων και επανατοποθέτηση του κρημνού. Οι άκρες στεγνώνουν σχολαστικά για να επιτευχθεί καλή πρόσφυση και ακολουθείται εφαρμογή BCL. Σε ορισμένες περιπτώσεις, μπορεί να απαιτηθούν ράμματα για την ευθυγράμμιση του κρημνού. Η πλήρης ανάκτηση της όρασης λαμβάνει χώρα σε περιπτώσεις που τα περιστατικά αντιμετωπίζονται νωρίς. Δευτερεύουσες επιπλοκές όπως DLK, επιθηλιακή μετανάστευση και θόλωση του επιπέδου διαχωρισμού παρατηρούνται σε λίγες περιπτώσεις59,65,66.

ii. Πτυχώσεις του κρημνού

Η συχνότητα εμφάνισης πτυχώσεων του κρημνού ποικίλλει από 0,03% έως 3,5%45,65,66 (Εικόνα 8a). Οι περισσότερες περιπτώσεις εμφανίζονται εντός των πρώτων ημερών μετά τη LASIK. Ήπιες πτυχώσεις του κρημνού αναφέρονται ως μικρο-πτυχώσεις, ενώ οι πτυχές πλήρους πάχους αναφέρονται ως μακρο-πτυχώσεις. Οι πτυχώσεις του κρημνού που αφορούν τον οπτικό άξονα επηρεάζουν την όραση προκαλώντας ανώμαλο αστιγματισμό και οπτικές εκτροπές. Εκτιμώνται καλύτερα κατά την εξέταση με σχισμοειδή λυχνία σε διάχυτο – κάθετο φωτισμό. Οι λεπτές πτυχώσεις μπορούν να ανιχνευθούν χρησιμοποιώντας φλουορεσκεΐνη κάτω από φίλτρο μπλε του κοβαλτίου ως ανωμαλίες στο δακρυϊκό φιλμ. Οι παράγοντες κινδύνου περιλαμβάνουν το υψηλό διαθλαστικό σφάλμα, το στέγνωμα του κρημνού, την κακή ευθυγράμμιση κατά την επανατοποθέτηση καθώς και τους υπερβολικούς χειρισμούς κατά τη διάρκεια της επέμβασης. Η διαχείριση ποικίλλει από απαλό τέντωμα του κρημνού με υγρό σφουγγάρι κάθετα στις ραβδώσεις (τεχνική ολίσθησης του κρημνού) έως και ανύψωση του κρημνού και επανατοποθέτηση (Εικόνα 8b). Η αντιμετώπιση περιλαμβάνει απομάκρυνση του επιθηλίου του κερατοειδούς από τον κρημνό και το εκτεθειμένο υπολειπόμενο στρώμα μαζί με την ανύψωση του κρημνού, την επανατοποθέτηση και χάιδεμα – τέντωμα με τον σπόγγο. Σε κάποιες περιπτώσεις απαιτείται συρραφή του κρημνού εάν οι πτυχές επιμένουν48. Το οπτικό αποτέλεσμα είναι καλό σε περιπτώσεις που αντιμετωπίζονται νωρίς.

iii. Ξηροφθαλμία

Η ξηροφθαλμία παρατηρείται σε >90% των περιπτώσεων στην άμεση μετεγχειρητική περίοδο. Ωστόσο, τα συμπτώματα είναι ως επί το πλείστον παροδικά67. Τα αίτια περιλαμβάνουν προϋπάρχουσα ξηροφθαλμία, βλάβη των καλυκοειδών κυττάρων του σκληροκερατοειδικού ορίου κατά την αναρρόφηση, βλάβη του πλεγμάτων του νευρικού αισθητικού ιστού κατά τη δημιουργία κρημνού και μετεγχειρητική φλεγμονή. Το ανώτερο hinge διατρέχει μεγαλύτερο κίνδυνο καθώς τα μακριά ακτινωτά νεύρα εισέρχονται στη θέση 3ης και 9ης ώρας, ωστόσο έχουν παρατηρηθεί ποικίλα αποτελέσματα68,69. Η βελτίωση της αισθητικότητας του κερατοειδούς και της ξηροφθαλμίας μεταξύ του 3ου και 6ου μήνα μετεγχειρητικά εμφανίζεται στις περισσότερες περιπτώσεις, αλλά η εκ νέου αποκατάσταση της νεύρωσης του κερατοειδούς καθυστερεί κατά 2-5 χρόνια70. Η διαχείριση περιλαμβάνει σταγόνες λιπαντικών – τεχνητών δακρύων για 3-6 μήνες, τοπικά κυκλοσπορίνη καθώς και αργή μείωση των τοπικών στεροειδών59. Σε περιπτώσεις με σοβαρή ξηροφθαλμία λαμβάνονται υπόψη τα προσωρινά βύσματα δακρυϊκών σημείων.

iv. Κεντρική τοξική κερατοπάθεια

Η κεντρική τοξική κερατοπάθεια (CTK) είναι μια σπάνια επιπλοκή που παρατηρείται στο 0,2%-0,77% των περιπτώσεων72 (Εικόνα 9a και b).

Η παθογένεση της CTK είναι αμφιλεγόμενη. Ωστόσο, οι εκκρίσεις των μεϊβομιανών αδένων, το μελάνι σήμανσης καθώς και το ταλκ από τα γάντια είναι οι κυριότεροι παράγοντες κινδύνου. Οι ασθενείς παρουσιάζουν πόνο, ερυθρότητα, φωτοφοβία, λάμψη και φωτοστέφανα μεταξύ της 2ης και 6ης ημέρας73. Η κλινική εξέταση αποκαλύπτει αδιαφάνεια του κεντρικού κερατοειδούς, υπερμετρωπική εκτροπή (3-6D) και λέπτυνση του κερατοειδούς η οποία εξελίσσεται σε διάστημα μίας εβδομάδας ακολουθούμενη από μια σταθερή φάση για 2-3 μήνες και φάση αποκατάστασης 3-18 μηνών όπου η υπερμετρωπία μειώνεται (1-3D) και το πάχος του κερατοειδούς αυξάνεται72. Η μη φλεγμονώδης απόπτωση των στρωματικών κερατοκυττάρων και η ενζυματική λύση του στρώματος που οδηγεί σε λέπτυνση του κερατοειδούς είναι η υποτιθέμενη αιτία για την υπερμετρωπική εκτροπή. Η DLK και η μικροβιακή κερατίτιδα θα πρέπει να υπολογίζονται στη διαφορική διάγνωση. Η CTK είναι μια μη φλεγμονώδης κατάσταση και ως εκ τούτου τα στεροειδή δεν ενδείκνυνται. Αντίθετα, μπορεί να εμποδίσουν τη διαδικασία επούλωσης.

v. Διάχυτη στρωματική κερατίτιδα (DLK)

Το DLK είναι μια μη μολυσματική φλεγμονώδης κατάσταση που αφορά το επίπεδο διαχωρισμού της LASIK και εμφανίζεται στο 0,13% έως 18,9% των περιπτώσεων74,75 (Εικόνες 9 c-e). Παράγοντες κινδύνου περιλαμβάνουν τα ταλκ γαντιών, τη χρώση σήμανσης, την παλιά λεπίδα μικροκερατόμου, το μικρό δακτύλιο αναρρόφησης, το FemtoSecond Laser υψηλής ενέργειας, τον κρημνό μεγάλης διαμέτρου, τις χημικές τοξίνες και βακτηριακές ενδοτοξίνες στα εργαλεία καθώς και τις εκκρίσεις μεϊβομιανών αδένων και αφορούν τόσο το κέντρο όσο και την περιφέρεια (άμμος της Σαχάρας). Οι Linebarger και συνεργάτες περιέγραψαν τα στάδια της DLK για να διευκολυνθεί η έγκαιρη και κατάλληλη παρέμβαση76 (Πίνακας 2). Τα στάδια 1 και 2 αντιμετωπίζονται με εντατικά τοπικά στεροειδή76. Η παρακολούθηση στις 24-48 ώρες βοηθά στην έγκαιρη αναγνώριση των περιπτώσεων που εξελίσσονται στο Στάδιο 3. Η πρώιμη ανύψωση κρημνού και η άρδευση του επιπέδου διαχωρισμού με εντατικά τοπικά στεροειδή στο στάδιο 3 μειώνει τον κίνδυνο εξέλιξης. Δεν υπάρχει όφελος από οποιαδήποτε παρέμβαση στο στάδιο 4.

vi. Η επαγόμενη από πίεση στρωματική κερατίτιδα

Η επαγόμενη από πίεση στρωματική κερατίτιδα (PISK) είναι επίσης γνωστή ως επαγόμενη από πίεση κερατίτιδα επιπέδου διαχωρισμού, σύνδρομο υγρού επιπέδου διαχωρισμού και στρωματική κερατοπάθεια που προκαλείται από πίεση. Συχνά διαγιγνώσκεται λανθασμένα ως DLK, αλλά σε αντίθεση με το DLK, εμφανίζεται > 1 εβδομάδα μετά την επέμβαση με υψηλή ΕΟΠ, παρουσιάζει κακή ανταπόκριση στα στεροειδή, καλή ανταπόκριση στα αντιγλαυκωματικά φάρμακα και απουσία φλεγμονωδών κυττάρων στο επίπεδο διαχωρισμού. Οι ασθενείς παρουσιάζουν κακή όραση και άλγος77. Η θόλωση του επιπέδου διαχωρισμού παρατηρείται σε κάποιες περιπτώσεις. Η αυξημένη ΕΟΠ δευτερογενώς οφειλόμενη στα στεροειδή είναι η υποτιθέμενη αιτία για τη συσσώρευση υγρού στο επίπεδο διαχωρισμού. Η δυναμική τονομετρία (dynamic contour tonometry) και το tonopen (ανάγνωση από τον περιφερικό κερατοειδή) είναι ανώτερα από την τονομετρία επιπέδωσης Goldmann σε αυτές τις περιπτώσεις για τη μέτρηση της ΕΟΠ. Η αντιμετώπιση περιλαμβάνει φαρμακευτική αγωγή κατά του γλαυκώματος και διακοπή των στεροειδών για την αποφυγή της γλαυκωματικής οπτικής νευροπάθειας77,78.

vii. Θόλωση επιπέδου διαχωρισμού

Η θόλωση του επιπέδου διαχωρισμού σπάνια παρατηρείται μετά από LASIK. Η DLK, ο εξαιρετικά λεπτός κρημνός (<90mm) και η νεαρή ηλικία είναι οι αναφερόμενοι παράγοντες κινδύνου79. Οι περισσότερες περιπτώσεις ανταποκρίνονται καλά στα τοπικά στεροειδή στην πρώιμη φάση με καλή οπτική ανάκαμψη79.

viii. Εκτροπές ανώτερης τάξης

Οπτικές εκτροπές παρατηρούνται στο 2,3%-43,5% των περιπτώσεων80,81. Τα συμπτώματα περιλαμβάνουν λάμψεις, φωτοστέφανα, δυσκολία στη νυχτερινή όραση και θολή όραση παρά την καλή οπτική οξύτητα. Στις περισσότερες περιπτώσεις οι ασθενείς προσαρμόζονται σε αυτά τα συμπτώματα σε λίγους μήνες, αλλά μερικοί μπορεί να μην μπορούν να τα ανεχτούν. Οι παράγοντες κινδύνου περιλαμβάνουν τη μεγάλη διάμετρο μεσοπικής κόρης (>6mm), τη μικρή οπτική ζώνη, την έκκεντρη φωτοεκτομή, το κεντρικό νησίδιο, τις πτυχώσεις του κρημνού, το μετεγχειρητικό υπολειπόμενο διαθλαστικό σφάλμα και τη ξηροφθαλμία. Οι οπτικές εκτροπές μετρούνται χρησιμοποιώντας τα αμπερόμετρα μετώπου κύματος (wavefront) ή ανίχνευσης ακτίνων (ray tracing). Η μείωση του μεγέθους της κόρης με τοπικά μυωτικά ή βριμονιδίνη, η χρήση χρωματισμένου φακού επαφής με τεχνητή κόρη και η τοπογραφικά κατευθυνόμενη ή κατευθυνόμενη με το μέτωπο κύματος (wavefront) διεύρυνση της οπτικής ζώνης είναι οι θεραπευτικές επιλογές.

ix. Μειωμένη ευαισθησία αντίθεσης

Η ευαισθησία αντίθεσης (CS) αξιολογεί καλύτερα τη λειτουργική οπτική οξύτητα, ειδικά σε ασθενείς που παραπονούνται για κακή ποιότητα όρασης παρά τα 10/10 οπτικής οξύτητας. Η βιβλιογραφία δείχνει μεταβλητή επίδραση της LASIK στην ευαισθησία αντίθεσης82. Ωστόσο, η πλειοψηφία προτείνει μια αρχική μείωση της ευαισθησίας αντίθεσης για 1-2 μήνες, ακολουθούμενη από πλήρη ανάρρωση μετά από 3-6 μήνες38,83. Η ευαισθησία αντίθεσης επηρεάζεται περισσότερο σε περιπτώσεις με υψηλό διαθλαστικό σφάλμα, m-LASIK και υψηλές μετεγχειρητικές εκτροπές υψηλής τάξης.

x. Μικροβιακή κερατίτιδα

Η μικροβιακή κερατίτιδα είναι μια σπάνια απειλητική για την όραση επιπλοκή που παρατηρείται στο 0,005%-0,034% των περιπτώσεων με μειωμένη επίπτωση με την πάροδο των ετών84,85,86 (Εικόνα 10). Με βάση την έναρξη, ταξινομείται σε πρώιμη (<2 εβδομάδες) και όψιμη (2 εβδομάδες-3 μήνες)85. Τα βακτήρια, κυρίως ο σταφυλόκοκκος, παρατηρούνται στις πρώιμες λοιμώξεις, ενώ τα άτυπα μυκοβακτήρια, η νοκαρδία και οι μύκητες σε όψιμες λοιμώξεις. Παράγοντες κινδύνου αποτελούν η ξηροφθαλμία, η βλεφαρίτιδα, η ανοσοκαταστολή, η ελλειπής αποστείρωση των χειρουργικών εργαλείων, η διεγχειρητική απώλεια του επιθηλίου, η χρήση φακού επαφής, η επανεπέμβαση και το τραύμα86. Οι ασθενείς παρουσιάζουν θολή όραση, φωτοφοβία, ερυθρότητα και πόνο. Η κλινική εξέταση αποκαλύπτει εστιακή διήθηση που περιορίζεται αρχικά στο επίπεδο διαχωρισμού και αργότερα εξαπλώνεται στον κρημνό και στο υποκείμενο στρώμα. Η διαφορική διάγνωση περιλαμβάνει DLK και CTK (Πίνακας 3). Η διαχείριση περιλαμβάνει ανύψωση κρημνού, απόξεση του υπολειπόμενου στρώματος και πλύση με αντιβιοτικά (βανκομυκίνη για πρώιμη έναρξη και αμικασίνη για όψιμη έναρξη). Εκτός από τα συνήθη μέσα χρώσης και καλλιέργειας, τα μέσα χρώσης Ziehl-Neelsen και τα μέσα Lowenstein-Jensen θα πρέπει να χρησιμοποιούνται για την αναγνώριση μυκοβακτηρίων και νοκαρδίας. Η τοπικά φθοροκινολόνη τέταρτης γενιάς και βανκομυκίνη 5% συνταγογραφούνται για πρώιμες λοιμώξεις, ενώ αμικακίνη 2% και βανκομυκίνη 5% ή τοπικά κλαριθρομυκίνη και φθοριοκινολόνη 4ης γενιάς για όψιμη έναρξη. Τα στεροειδή διακόπτονται85,86. Επιπλέον, η από του στόματος δοξυκυκλίνη (100 mg BD) χρησιμοποιείται για τη μείωση της στρωματικής κολλαγονόλυσης. Η θεραπεία θα πρέπει να επανεξεταστεί μετά τη διαθεσιμότητα των αναφορών καλλιέργειας και ευαισθησίας. Σε σοβαρή κερατίτιδα, απαιτείται ακρωτηριασμός κρημνού τόσο για διαγνωστικούς όσο και για θεραπευτικούς σκοπούς.

xi. Σύνδρομο παροδικής ευαισθησίας στο φως (TLSS)

Το σύνδρομο παροδικής ευαισθησίας στο φως (TLSS) είναι μια επιπλοκή που χαρακτηρίζει το FS-LASIK που παρατηρείται σε 1,1%-1,3% των περιπτώσεων87. Οι ασθενείς παρουσιάζουν καλή οπτική οξύτητα και φωτοευαισθησία χωρίς σημάδια φλεγμονής στις 4-6 εβδομάδες87,88. Η χρήση του FSL προκαλεί περισσότερη φλεγμονή, και αυτό υποτίθεται ότι είναι η αιτία του TLSS87,88. Τα τοπικά στεροειδή χρησιμοποιούνται για αντιμετώπιση. Επίσης, η τοπική κυκλοσπορίνη έχει δείξει καλά αποτελέσματα87.

Εικόνα 8.

Εικόνα 9.

Εικόνα 10.

Πίνακας 2.

Πίνακας 3.

Όψιμες επιπλοκές

i. Υποστροφή διαθλαστικού σφάλματος

Η διαθλαστική υποστροφή, η οποία ορίζεται ως >0,25D μετατόπιση στο διαθλαστικό σφάλμα, παρατηρείται σε σχεδόν στο 30% στους υπερμέτρωπες και στο 5,5%-27,7% στους μύωπες89. Παράγοντες κινδύνου περιλαμβάνουν το υψηλό διαθλαστικό σφάλμα, το χαμηλό υπολειπόμενο στρώμα, τη μεγάλη ηλικία, τη χρόνια ξηροφθαλμία, την m-LASIK και την μικρή οπτική ζώνη89,90. Η αντισταθμιστική υπερπλασία του επιθηλίου, το μειωμένο πάχος του κρημνού, η πρόσθια μετατόπιση του κερατοειδούς, η αναδιαμόρφωση του στρώματος και η πυρηνική σκλήρυνση του κρυσταλοειδούς φακού είναι υπεύθυνοι για την υποστροφή του διαθλαστικού σφάλματος89,90. Η διαχείριση περιλαμβάνει τους παράγοντες μείωσης της ΕΟΠ, όπως η τιμολόλη που μειώνει την πρόσθια μετατόπιση του κερατοειδούς91. Ωστόσο, το αποτέλεσμα είναι προσωρινό και επανέρχεται με τη διακοπή της θεραπείας. Οι επιλογές χειρουργικής θεραπείας περιλαμβάνουν επανεπέμβαση με επανανύψωση του κρημνού και φωτοεκτομή ή PRK από επάνω. Ο προσεκτικός υπολογισμός του υπολειπόμενου πάχους του κερατοειδούς είναι απαραίτητος σε αυτές τις περιπτώσεις για να αποφευχθεί η εκτασία του κερατοειδούς.

ii. Επιθηλιακή μετανάστευση

Η επιθηλιακή μετανάστευση εμφανίζεται στο 0%-3,9% των περιπτώσεων που υποβάλλονται σε πρωτογενή θεραπεία και στο 10%-20% σε περιπτώσεις επανάληψης θεραπείας92 (Εικόνα 11). Στην πλειοψηφία των περιπτώσεων είναι παρούσα εντός των πρώτων τεσσάρων εβδομάδων. Ωστόσο, μια καθυστερημένη παρουσίαση (έως δέκα χρόνια) δεν είναι ασυνήθιστη92. Η παθογένεση περιλαμβάνει την εμφύτευση επιθηλιακών κυττάρων στο επίπεδο διαχωρισμού κατά τη διάρκεια της χειρουργικής επέμβασης ή τη μεταγενέστερη μετανάστευση από την άκρη του κρημνού. Παράγοντες κινδύνου περιλαμβάνουν τη δυστροφία της βασικής μεμβράνης του επιθηλίου ή το σύνδρομο υποτροπιάζοντων αποπτώσεων, την υπερμετρωπία, το μεγαλύτερο βάθος εκτομής, την m-LASIK, τη μικρή οπτική ζώνη, την επανεπέμβαση και τέλος τις πτυχές/μετατόπιση του κρημνού92. Οι διεγχειρητικά λανθασμένοι χειρισμοί των εργαλείων, το υγρό από την περιφέρεια που φτάνει στο επίπεδο διαχωρισμού και το επιθηλιακό έλλειμμα αυξάνουν τον κίνδυνο. Οι Probst και Machat πρότειναν ένα σύστημα βαθμολόγησης για τη μετανάστευση του επιθηλίου για να καθοδηγήσει τη διαχείρισή του92 (Πίνακας 4). Η παρουσία επιθηλιακών συγκριμάτων, η ινωτική γραμμή οριοθέτησης στο επίπεδο διαχωρισμού και η τήξη του κρημνού είναι σημάδια μετανάστευσης του επιθηλίου92,93. Οι ασθενείς παρουσιάζουν αίσθηση ξένου σώματος και λάμψεις στα αρχικά στάδια και μείωση της όρασης σε μεταγενέστερα στάδια. Η διαχείριση περιλαμβάνει παρατήρηση για βαθμού 1 και ανύψωση του κρημνού με μηχανικό καθαρισμό της επιθηλιακής ανάπτυξης στο επίπεδο διαχωρισμού τόσο στην κάτω επιφάνεια του κρημνού όσο και στο υπολειπόμενο στρώμα για βαθμού 2-492,94. Πρόσφατα, το λέιζερ χαμηλής ενέργειας (0,6 mJ) Nd-YAG έχει χρησιμοποιηθεί για την αντιμετώπιση σε λίγες περιπτώσεις92,95.

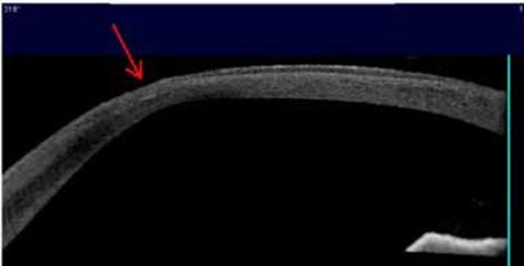
iii. Εκτασία κερατοειδούς

Η εκτασία κερατοειδούς μετά από LASIK είναι μια σοβαρή επιπλοκή που παρατηρείται σε 0,033%-0,6% των περιπτώσεων48,96 (Εικόνα 12,13). Η χρήση προηγμένων τοπογραφικών συσκευών και κριτηρίων προεγχειρητικού ελέγχου, όπως το σύστημα βαθμολόγησης κινδύνου εκτασίας του Randleman ή τη βαθμονόμηση Belin Ambrosio, μείωσε τη συχνότητά της96,97. Οι παράγοντες κινδύνου περιλαμβάνουν τη νεαρή ηλικία, την υψηλή μυωπία, τον λεπτό κερατοειδή, το χαμηλό υπολειπόμενο πάχος του στρώματος, τη μη φυσιολογική τοπογραφία κερατοειδούς, τον κερατόκωνο, την εγκυμοσύνη, την οφθαλμική αλλεργία και το τρίψιμο των ματιών. Η έναρξη ποικίλλει από 1 εβδομάδα έως αρκετά χρόνια. Οι ασθενείς παρουσιάζονται με μείωση της όρασης και η διάθλαση παρουσιάζει προοδευτική αύξηση της μυωπίας και του αστιγματισμού. Ο χάρτης τοπογραφικών διαφορών στους επανελέγχους παίζει καθοριστικό ρόλο στη διάγνωσή της. Η διασύνδεση κερατοειδούς (CXL) πραγματοποιείται σε περιπτώσεις με προοδευτική εκτασία98. Η οπτική αποκατάσταση επιτυγχάνεται με γυαλιά, φακούς επαφής ή τμήματα ενδοστρωματικών δακτυλίων. Οι προχωρημένες περιπτώσεις απαιτούν πρόσθια ή διαμπερή κερατοπλαστική.

iv. Επιπλοκές οπίσθιου τμήματος

Οι επιπλοκές του οπίσθιου τμήματος είναι σπάνιες μετά από LASIK. Περιλαμβάνουν τη ρηγματογενή αποκόλληση αμφιβληστροειδούς (0,03% – 0,25%), τη χοριοειδική νεοαγγειακή μεμβράνη (0,1% – 0,33%), την οπή της ωχράς κηλίδας (0,03%), την αιμορραγία αμφιβληστροειδούς και την ενδοφθαλμίτιδα99. Η παρουσία μυωπίας και ξαφνικής συμπίεσης-αποσυμπίεσης του οφθαλμού κατά την εφαρμογή αναρρόφησης (60-100mm Hg) μπορεί να οδηγήσει σε διάφορες επιπλοκές του οπίσθιου τμήματος.

v. Απώλεια της καλύτερης διορθωμένης οπτικής οξύτητας με γυαλιά (BSCVA)

Απώλεια της BSCVA εμφανίζεται στο 0,3%-4,8% των περιπτώσεων100. Οι περισσότερες από τις προαναφερθείσες επιπλοκές οδηγούν σε απώλεια BSCVA εάν δεν αντιμετωπιστούν έγκαιρα. Η υψηλότερη επίπτωση παρατηρείται σε υψηλούς μύωπες100,101. Η ανάπτυξη καταρράκτη και η μυωπική ωχροπάθεια είναι οι άλλες αιτίες για την εμφάνισή της.

Εικόνα 11.

Πίνακας 4.

Εικόνα 12.

Εικόνα 13.

Σύνοψη

Διάφορες επιπλοκές μπορεί να εμφανιστούν και στις δύο αυτές τεχνικές της διαθλαστικής χειρουργικής. Ωστόσο, η σπανιότητα εμφάνισής τους έχει ως αποτέλεσμα τη μη εξοικείωση των περισσότερων οφθαλμίατρων με αυτές τις καταστάσεις. Η εις βάθος γνώση των επιπλοκών μπορεί να βοηθήσει στη μείωση της εμφάνισής τους, ενώ η έγκαιρη αναγνώριση και η εφαρμογή της κατάλληλης θεραπείας μπορεί να σώσει αυτά τα μάτια από την απώλεια όρασης. Επίσης, η αναφορά των επιπλοκών είναι απαραίτητη καθώς είναι ο μόνος τρόπος για εκμάθηση και στη συνέχεια σχεδιασμό της χειρουργικής τεχνικής για τη μείωση της εμφάνισής τους στο μέλλον.

Βιβλιογραφία

(ΚΑΤΑ ΣΥΝΕΧΕΙΑ ΑΠΟ ΤΟ ΠΡΟΗΓΟΥΜΕΝΟ ΑΡΘΡΟ)

  1. Sahay P, Bafna RK, Reddy JC, Vajpayee RB, Sharma N. Complications of laser-assisted in situ keratomileusis. Indian J Ophthalmol. 2021 Jul;69(7):1658-1669. doi: 10.4103/ijo.IJO_1872_20.PMID: 34146007
  2. Dada T, Sharma N, Vaypayee RB, Dada VK. Subconjuctival hemorrhages after LASIK. Laser in situ keratomileusis. J Cataract Refract Surg. 2000;26:1570 T. doi: 10.1016/s0886-3350(00)00725-2.
  3. Tse SM, Farley ND, Tomasko KR, Amin SR. Intraoperative LASIK Complications. Int Ophthalmol Clin. 2016;56:47e SM. doi: 10.1097/IIO.0000000000000110.
  4. P rez-Santonja JJ, Sakla HF, Ali JL. Contrast sensitivity after laser in situ keratomileusis. J Cataract Refract Surg. 1998;24:183San. doi: 10.1016/s0886-3350(98)80198-3.
  5. Moshirfar M, Gardiner JP, Schliesser JA, Espandar L, Feiz V, Mifflin MD, et al. Laser in situ keratomileusis flap complications using mechanical microkeratome versus femtosecond laser:Retrospective comparison. J Cataract Refract Surg. 2010;36:1925riso. doi: 10.1016/j.jcrs.2010.05.027.
  6. Randleman JB, Lynn MJ, Banning CS, Stulting RD. Risk factors for epithelial defect formation during laser in situ keratomileusis. J Cataract Refract Surg. 2007;33:1738lema. doi: 10.1016/j.jcrs.2007.05.038
  7. Shah MN, Misra M, Wihelmus KR, Koch DD. Diffuse lamellar keratitis associated with epithelial defects after laser in situ keratomileusis. J Cataract Refract Surg. 2000;26:1312 MN. doi: 10.1016/s0886-3350(00)00570-8. [DOI] [PubMed] [Google Scholar]
  8. Smirennaia E, Sheludchenko V, Kourenkova N, Kashnikova O. Management of corneal epithelial defects following laser in situ keratomileusis. J Refract Surg. 2001;17(2 Suppl):S196–9. doi: 10.3928/1081-597X-20010302-09.
  9. Rosman M, Hall RC, Chan C, Ang A, Koh J, Htoon HM, et al. Comparison of efficacy and safety of laser in situ keratomileusis using 2 femtosecond laser platforms in contralateral eyes. J Cataract Refract Surg. 2013;39:1066pari. doi: 10.1016/j.jcrs.2013.02.038.
  10. Haft P, Yoo SH, Kymionis GD, Ide T. OT, Oer in situ keratomileusis using 2 femtosecond laser platforms in contralateral eyes. J Cataract Refract Sur J Refract Surg. 2009;25:979t
  11. Shah DN, Melki S. Complications of femtosecond-assisted laser in-situ keratomileusis flaps. Semin Ophthalmol. 2014;29:363h DN. doi: 10.3109/08820538.2014.959194.
  12. AmbrAmbr Melki S. Complications of femtosecond-assisted laser in-situ Etiology, prevention, and treatment. J Refract Surg. 2001;17:350even. doi: 10.3928/1081-597X-20010501-09.
  13. Romero-Diaz-de-Leon L, Serna-Ojeda JC, Navas A, Graue-HernHernin-situ keratomileusis flaps Semin Ophtflap complications in LASIK surgery performed by ophthalmology residents. J Ophthalmic Vis Res. 2016;11:263Oph. doi: 10.4103/2008-322X.188393.
  14. Melki SA, Azar DT. LASIK complications:Etiology, management, and prevention. Surv Ophthalmol. 2001;46:95anage. doi: 10.1016/s0039-6257(01)00254-5.
  15. Salomalomof common complications. Laser in situ keratomileusis. Cornea. 1998 doi: 10.1097/00003226-199809000-00001. 17leusis flaps. Semin Ophthal:1024malo.
  16. Maldonado MJ. Juberuberlications. Laser in situ keratomileusis. Cornea 1998;17leusis flaps. Semin Ophthalmol 2keratomileusis retreatment. J Cataract Refract Surg. 2005;31:2016ona. doi: 10.1016/j.jcrs.2005.06.038.
  17. Jain V, Mhatre K, Shome D. Flap buttonhole in thin-flap laser in situ keratomileusis:Case series and review. Cornea. 2010;29:655es. doi: 10.1097/ICO.0b013e3181c377d5.
  18. Al-Mezaine HS, Al-Amro SA, Al-Obeidan S. Incidence, management, and visual outcomes of buttonholed laser in situ keratomileusis flaps. J Cataract Refract Surg. 2009;35:839Meza. doi: 10.1016/j.jcrs.2009.01.013.
  19. Geggel HS. Treatment of lost flaps and slipped flaps. Int Ophthalmol Clin. 2008;48:65ggel. doi: 10.1097/IIO.0b013e31815eb96d.
  20. Seider MI, Ide T, Kymionis GD, Culbertson WW, OW O. in situ keratomileusis induced corneal perforation and recurrent corneal epithelial ingrowth. J Cataract Refract Surg. 2005 doi: 10.1016/j.jcrs.2004.09.027. 31t is mana:859der.
  21. Srinivasan S, Herzig S. SubS. Sub, Herzig S. Sub Sub recurrent corneal epithelial ingroreation for LASIK. Br J Ophthalmol. 2007;91:1373. doi: 10.1136/bjo.2007.129213.
  22. Jung H-G, Kim J, Lim T-H. Possible risk factors and clinical effects of an opaque bubble layer created with femtosecond laser-assisted laser in situ keratomileusis. J Cataract Refract Surg. 2015;41:1393 H-. doi: 10.1016/j.jcrs.2014.10.039.
  23. Lim DH, Hyun J, Shin E, Ko B-W, Chung E-S, Chung T-Y. Incidence and risk factors of opaque bubble layer formation according to flap thickness during 500-kHz FS-LASIK. J Refract Surg. 2019;35:583kHz. doi: 10.3928/1081597X-20190814-01.
  24. Kaiserman I, Maresky HS, Bahar I, Rootman DS. Incidence, possible risk factors, and potential effects of an opaque bubble layer created by a femtosecond laser. J Cataract Refract Surg. 2008;34:417serm. doi: 10.1016/j.jcrs.2007.10.026.
  25. Robert M-C, Khreim N, Todani A, Melki SA. Anterior chamber gas bubble emergence pattern during femtosecond LASIK-flap creation. Br J Ophthalmol. 2015;99:1201rt. doi: 10.1136/bjophthalmol-2014-306307.
  26. Srinivasan S, Rootman DS. Anterior chamber gas bubble formation during femtosecond laser flap creation for LASIK. J Refract Surg. 2007;23:828niva. doi: 10.3928/1081-597X-20071001-14.
  27. Vesaluoma M PJ. Recent advances in wavefront-guided LASIK. Curr Opin Ophthalmol. 2018;298 doi: 10.1097/ICU.0000000000000488. 29almol 2001;1215act Refract Surg 2000;262002;502;50rneal end: 369aluo.
  28. Mimouni M, Vainer I, Assad N, Nemet A, Sela T, Munzer G, et al. Incidence, indications, and outcomes of eyes needing early flap lifting after LASIK. Cornea. 2018;37:1118. Co. doi: 10.1097/ICO.0000000000001617.
  29. Segev F, Mimouni M, Sela T, Munzer G, Kaiserman I. Risk factors for sporadic diffuse lamellar keratitis after microkeratome laser-assisted in situ keratomileusis:A retrospective large database analysis. Cornea. 2018;37:1124nea. doi: 10.1097/ICO.0000000000001674.
  30. Clare G, Moore TCB, Grills C, Leccisotti A, Moore JE, Schallhorn S. Early flap displacement after LASIK. Ophthalmology. 2011;118:1760e G. doi: 10.1016/j.ophtha.2011.01.053.
  31. Galvis V, Tello A, Guerra AR, Rey JJ, Camacho PA. Risk factors and visual results in cases of LASIK flap repositioning due to folds or dislocation:Case series and literature review. Int Ophthalmol. 2014;34:19ies. doi: 10.1007/s10792-013-9776-9.
  32. Ting DSJ, Danjoux J-P. Late-onset traumatic dislocation of laser in situ keratomileusis corneal flaps:A case series with many clinical lessons. Int Ophthalmol. 2019;39:1397serie. doi: 10.1007/s10792-018-0946-7.
  33. Cohen E, Spierer O. Dry eye post-laser-assisted in situ keratomileusis:Major review and latest updates. J Ophthalmol. 2018;2018:4903831. doi: 10.1155/2018/4903831. doi:10.1155/2018/4903831.
  34. Donnenfeld ED, Solomon K, Perry HD, Doshi SJ, Ehrenhaus M, Solomon R, et al. The effect of hinge position on corneal sensation and dry eye after LASIK. Ophthalmology. 2003;110 doi: 10.1016/S0161-6420(03)00100-3. 1023 effect of hinge pos30.
  35. Huang JC-C, Sun C-C, Chang C-K, Ma DH-K, Lin Y-F. Effect of hinge position on corneal sensation and dry eye parameters after femtosecond laser-assisted LASIK. J Refract Surg. 2012;28:625ng J. doi: 10.3928/1081597X-20120815-07.
  36. Darwish T, Brahma A, Oma A, OOA, OEfron N. Subbasal nerve fiber regeneration after LASIK and LASEK assessed by noncontact esthesiometry and in vivo confocal microscopy:Prospective study. J Cataract Refract Surg. 2007;33:1515. J. doi: 10.1016/j.jcrs.2007.05.023.
  37. Salib GM, McDonald MB, Smolek M. Safety and efficacy of cyclosporine 0.05% drops versus unpreserved artificial tears in dry-eye patients having laser in situ keratomileusis. J Cataract Refract Surg. 2006;32:772ib. doi: 10.1016/j.jcrs.2005.10.034.
  38. Moshirfar M, Hazin R, Khalifa YM. Central toxic keratopathy. Curr Opin Ophthalmol. 2010;21:274hir. doi: 10.1097/ICU.0b013e32833a8cb2.
  39. Jutley G, Aiello F, Robaei D, Maurino V. Central toxic keratopathy after laser in situ keratomileusis. J Cataract Refract Surg. 2014;40:1985ey G. doi: 10.1016/j.jcrs.2014.03.030.
  40. Gritz DC. LASIK interface keratitis:Epidemiology, diagnosis and care. Curr Opin Ophthalmol. 2011;22:251agn. doi: 10.1097/ICU.0b013e3283477b52.
  41. Smith RJ, Maloney RK. Diffuse lamellar keratitis. A new syndrome in lamellar refractive surgery. Ophthalmology. 1998;105:1721h R. doi: 10.1016/S0161-6420(98)99044-3.
  42. Linebarger EJ, Hardten DR, Lindstrom RL. Diffuse lamellar keratitis:Diagnosis and management. J Cataract Refract Surg. 2000;26:1072ana. doi: 10.1016/s0886-3350(00)00468-5.
  43. Cabral-Macias J, GarcGarcy BK, Devi SAV. In vivo confocal microscopic findings of interlamellar stromal keratop. Pressure-induced stromal keratopathy after laser in situ keratomileusis:Acute and late-onset presentations. J Cataract Refract Surg. 2018;44:1284kera. doi: 10.1016/j.jcrs.2018.06.053.
  44. Kurian M, Shetty R, Shetty BK, Devi SAV. In vivo confocal microscopic findings of interlamellar stromal keratopathy induced by elevated intraocular pressure. J Cataract Refract Surg. 2006;32:1563an. doi: 10.1016/j.jcrs.2006.03.041.
  45. Rocha KM, Kagan R, Smith SD, Krueger RR. Thresholds for interface haze formation after thin-flap femtosecond laser in situ keratomileusis for myopia. Am J Ophthalmol. 2009;147:966ha KM, Kagan. doi: 10.1016/j.ajo.2009.01.010.
  46. Jabbur NS, Sakatani K OK, O Krueger RR. Thresholds for interface haze formation after thin-flap femtosecond laser in situ keratomileusis for myopia. Am J Ophthalmol. 2009;147:966ha KM, Kagan. doi: 10.1016/j.ajo.2009.01.010.
  47. Krueger RR, Thornton IL, Xu M, Bor Z, van den Berg TJTP. Rainbow glare as an optical side effect of IntraLASIK. Ophthalmology. 2008;115:1187–95.e1. doi: 10.1016/j.ophtha.2007.10.007.
  48. Yamane N, Miyata K, Samejima T, Hiraoka T, Kiuchi T, Okamoto F, et al. Ocular higher-order aberrations and contrast sensitivity after conventional laser in situ keratomileusis. Invest Ophthalmol Vis Sci. 2004;45:3986lar. doi: 10.1167/iovs.04-0629. [DOI] [PubMed] [Google Scholar]
  49. MontMonthigher-order aberrations and contrast sensitivity after conventional laser in situ keratomileusis. Invest Ophthalmol Vis Sci. 2004;45:3986lar. doi: 10.1167/iovs.04-0629.
  50. Ortega-Usobiaga J, Llovet-Osuna F, Djodeyre MR, Llovet-Rausell A, Beltran J, Baviera J. Incidence of corneal infections after laser in situ keratomileusis and surface ablation when moxifloxacin and tobramycin are used as postoperative treatment. J Cataract Refract Surg. 2015;41:1210per. doi: 10.1016/j.jcrs.2014.09.041.
  51. Donnenfeld ED, Kim T, Holland EJ, Azar DT, Palmon FR, Rubenstein JB, et al. ASCRS white paper:Management of infectious keratitis following laser in situ keratomileusis. J Cataract Refract Surg. 2005;31:2008agem. doi: 10.1016/j.jcrs.2005.10.030.
  52. Chang MA, Jain S, Azar DT. Infections following laser in situ keratomileusis:An integration of the published literature. Surv Ophthalmol. 2004;49:269grat. doi: 10.1016/j.survophthal.2004.02.007.
  53. Stonecipher KG, Dishler JG, Ignacio TS, Binder PS. Transient light sensitivity after femtosecond laser flap creation:Clinical findings and management. J Cataract Refract Surg. 2006;32:91din. doi: 10.1016/j.jcrs.2005.11.015.
  54. Mu oz G. Albarr management. J Cataract Refract Surg 2006;32sient light sensitivity after femtosecond laser flap creation: s after laser in smtosecond laser Incidence and prevention. J Cataract Refract Surg. 2006;32:2075 Al.
  55. Yan MK, Chang JS, Chan TC. Refractive regression after laser in situ keratomileusis. Clin Experiment Ophthalmol. 2018;46:934 MK. doi: 10.1111/ceo.13315. [DOI] [PubMed] [Google Scholar]
  56. Lim SA, Park Y, Cheong YJ, Na KS, Joo CK. Factors affecting long-term myopic regression after laser in situ keratomileusis and laser-assisted subepithelial keratectomy for moderate myopia. Korean J Ophthalmol. 2016;30:92orean. doi: 10.3341/kjo.2016.30.2.92.
  57. Qi H, Gao C, Li Y, Feng X, Wang M, Zhang Y, et al. The effect of Timolol 0.5% on the correction of myopic regression after LASIK. Medicine (Baltimore) 2017;96:e6782. doi: 10.1097/MD.0000000000006782.
  58. Ting DSJ, Srinivasan S, Danjoux J-P. Epithelial ingrowth following laser in situ keratomileusis (LASIK):Prevalence, risk factors, management and visual outcomes. BMJ Open Ophthalmol. 2018;3:e000133. doi: 10.1136/bmjophth-2017-000133.
  59. Neff KD, Probst LE. LASIK complications. In: Krachmer JH, Mannis MJ, Holland EJ, editors. Cornea:Surgery of the Cornea and Conjunctiva. 3rd ed. St. Louis, MO: Mosby; 2011.
  60. Chen LY, Kung JS, Manche EE. Management of complex epithelial ingrowth after laser in situ keratomileusis using fibrin tissue glue. Eye Contact Lens. 2018;44(Suppl 2):S210 2o. doi: 10.1097/ICL.0000000000000447. [DOI] [PubMed] [Google Scholar]
  61. Mohammed OA, Mounir A, Hassan AA, Alsmman AH, Mostafa EM. Nd:YAG laser for epithelial ingrowth after laser in situ keratomileusis. Int Ophthalmol. 2019;39:1225mmed. doi: 10.1007/s10792-018-0923-1.
  62. Bohac M, Koncarevic M, Pasalic A, Biscevic A, Merlak M, Gabric N, et al. Incidence and clinical characteristics of post LASIK ectasia:A review of over 30,000 LASIK cases. Semin Ophthalmol. 2018;33:869 min. doi: 10.1080/08820538.2018.1539183.
  63. Santhiago MR. Percent tissue altered and corneal ectasia. Curr Opin Ophthalmol. 2016;27:311thi. doi: 10.1097/ICU.0000000000000276.
  64. Tong JY, Viswanathan D, Hodge C, Sutton G, Chan C, Males JJ. Corneal collagen crosslinking for post-LASIK ectasia:An Australian study. Asia Pac J Ophthalmol (Phila) 2017;6:228ia P. doi: 10.22608/APO.2016197.
  65. Arevalo JF. Posterior segment complications after laser-assisted in situ keratomileusis. Curr Opin Ophthalmol. 2008;19:177valo. doi: 10.1097/ICU.0b013e3282fb7c15.
  66. Ikeda T, Shimizu K, Igarashi A, Kasahara S, Kamiya K. Twelve-year follow-up of laser in situ keratomileusis for moderate to high myopia. Biomed Res Int. 2017;2017:9391436. doi: 10.1155/2017/9391436. doi:10.1155/2017/9391436.
  67. Tomita M, Watabe M, Yukawa S, Nakamura N, Nakamura T, Magnago T. Safety, efficacy, and predictability of laser in situ keratomileusis to correct myopia or myopic astigmatism with a 750 Hz scanning-spot laser system. J Cataract Refract Surg. 2014;40:251ita. doi: 10.1016/j.jcrs.2013.07.043.